Familiarity with our bodies can help us make healthier decisions, take better actions when signs of illness appear, and effectively communicate with healthcare providers, among other things. However, despite living our entire lives in a human body, there are a lot of things people typically don’t know about it. To help you, our dear Pandas, learn more about the human body, our team compiled a whole list of photos featuring the wildest and most fascinating things that can happen to it. Scroll down to find them below, and don’t forget to upvote those that wowed you the most.
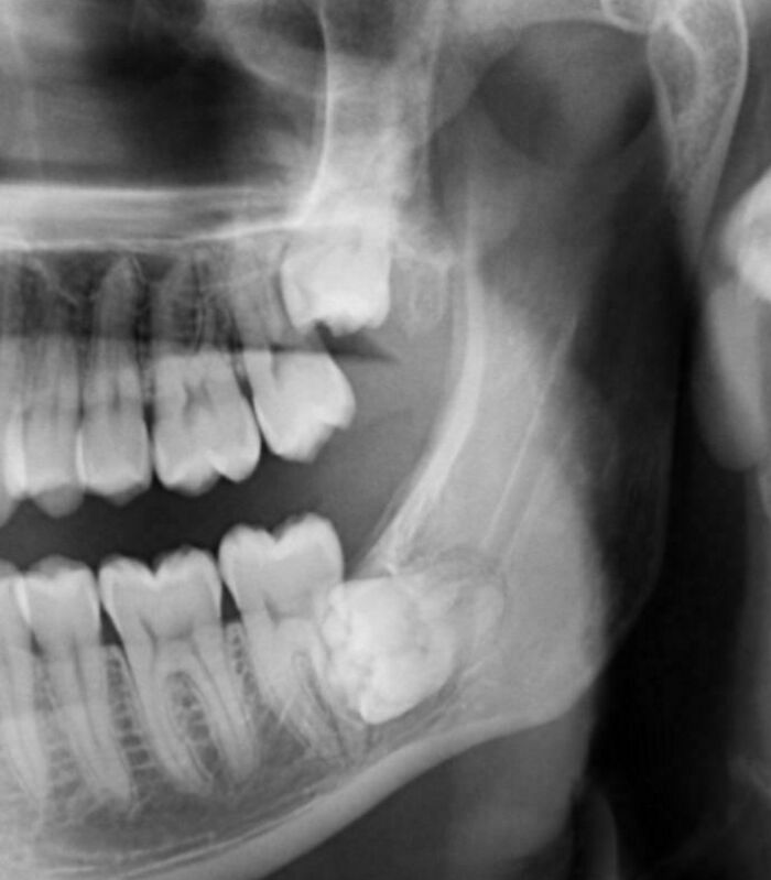
Went In For Teeth Cleaning Last Month And Mentioned A Numb Feeling In A Tooth- I Was Shocked To Find A Tumor Eating My Jaw Bone

This photo is my CT scan. Biopsy surgery results were non-cancerous, thankfully. It’s been a real WTF month.
This Explains The Pain

Being Strunk By Lightning Can Leave A Tattoo-Like Marking Or Scar Known As A Lichtenberg Figure

I Had A Tendon Transplant In My Finger And They’re Using A Button, Sewn Through My Fingernail, To Hold The New Tendon In Place While It Heals

Here’s A Kidney Stone That I Passed A While Back

Anonychia Is The Partial Or Total Absence Of One Or More Nails On The Fingers Or Toes

I Have A Skin Condition Called Dermatographia Due To Which Lightly Scratching My Skin Causes Raised, Red Lines Where I’ve Scratched
